ORTODENT

Centro de Ortodoncia

Agendar en Matriz (Quito) Agendar en Salcedo

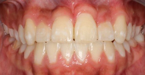
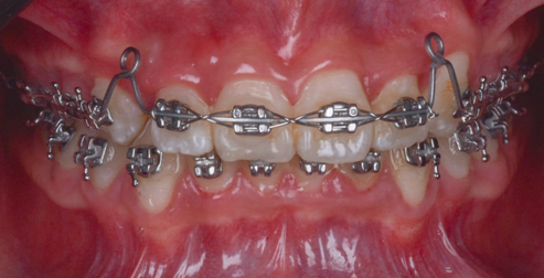
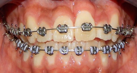
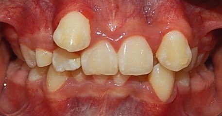
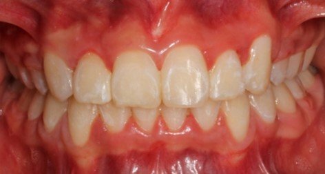
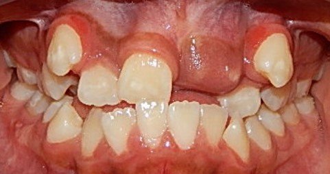
Transformaciones Reales

Resultados que hablan por sí solos

Sonrisa Perfecta

Nuestra Misión

En ORTODENT, transformamos vidas a través de sonrisas perfectas. Combinamos la más avanzada tecnología con el cuidado humano personalizado para ofrecerte tratamientos de ortodoncia de calidad.

Nuestro compromiso es brindarte no solo una sonrisa hermosa, sino también la confianza y bienestar que mereces. Cada tratamiento es único, diseñado específicamente para tus necesidades.

500+
Pacientes Felices
10+
Años de Experiencia
98%
Satisfacción
Nuestra misión - Ortodent

Nuestros Servicios

Tratamientos especializados para tu sonrisa perfecta

Ortodoncia
Ortodoncia
Corrección de malposiciones dentales con técnicas avanzadas
Ortopedia Maxilar
Ortopedia Maxilar
Tratamiento de problemas de crecimiento facial
Odontología General
Odontología General
Cuidado integral de tu salud bucal
Cirugía Oral
Cirugía Oral
Procedimientos quirúrgicos especializados
Implantología Oral
Implantología Oral
Reemplazo de dientes con implantes de última generación
Ortodoncia Invisible
Ortodoncia Invisible
Alineadores transparentes para corregir sin brackets metálicos

Lo que dicen nuestros pacientes

Testimonios reales de sonrisas transformadas

«Excelente atención y resultados increíbles. Mi sonrisa cambió completamente.»
María González
«Profesionales muy capacitados. El tratamiento fue cómodo y efectivo.»
Carlos Rodríguez
«Recomiendo totalmente ORTODENT. Calidad y calidez humana excepcional.»
Ana Martínez

Nuestra Ubicación

Visítanos en nuestras modernas instalaciones

Información de Contacto

Horarios de Atención

Atendemos exclusivamente con cita previa

Horario Semanal

  • Lunes9:00 – 18:00
  • Martes9:00 – 18:00
  • Miércoles9:00 – 18:00
  • Jueves9:00 – 18:00
  • Viernes9:00 – 18:00
  • Sábado9:00 – 17:00
  • Domingo9:00 – 17:00
Servicio únicamente con cita previa

Este mismo horario aplica para ambas sucursales.

Ilustración Horario

Preguntas Frecuentes

Resolvemos tus dudas más comunes

¿Cuánto tiempo dura un tratamiento de ortodoncia?
La duración del tratamiento varía según cada caso, pero generalmente oscila entre 18 a 36 meses. Durante la consulta inicial evaluamos tu caso específico y te damos un tiempo estimado personalizado.
¿Los brackets causan dolor?
Es normal sentir molestias leves los primeros días después de colocar los brackets o después de cada ajuste. Estas molestias son temporales y se pueden manejar con analgésicos comunes.
¿Qué cuidados especiales necesito durante el tratamiento?
Mantener una excelente higiene oral es fundamental. Te enseñaremos técnicas específicas de cepillado y uso de hilo dental. También deberás evitar ciertos alimentos duros o pegajosos.
¿Ofrecen planes de financiamiento?
Sí, ofrecemos diferentes opciones de financiamiento para hacer más accesible tu tratamiento. Consulta con nuestro equipo sobre las opciones disponibles durante tu cita.
¿A partir de qué edad se puede iniciar un tratamiento de ortodoncia?
La edad ideal para comenzar varía, pero generalmente recomendamos una primera evaluación alrededor de los 7 años. Sin embargo, nunca es demasiado tarde para mejorar tu sonrisa: tratamos pacientes de todas las edades.

Artículo Destacado

Mantente informado sobre ortodoncia

Artículo Especializado

Últimos Avances en Ortodoncia Digital

Descubre cómo la tecnología digital está revolucionando los tratamientos de ortodoncia, ofreciendo mayor precisión y comodidad para nuestros pacientes.

Leer artículo completo

Contáctanos

Estamos aquí para responder todas tus preguntas

Nombre